One of the major focuses of my laboratory is to investigate the importance of local microenvironmental factors in regulating cell function in the intervertebral discs--the soft tissue between vertebrae that serves as shock absorbers in the spine. Back pain is a ubiquitous condition and the second most prevalent neurological ailment in the United States, costing the economy upwards of $200 billion each year. This painful syndrome is closely linked to degenerative changes that impair the function of the intervertebral disc. Our group was the first to show a differential expression of HIF-1α in nucleus pulposus (NP) tissue and not in the annulus fibrosus and cartilage endplate within the intervertebral disc, as was commonly believed. Subsequent work clearly showed that NP cells exhibit uniquely stabilized HIF-1α and that this stability is controlled through the coordinated actions of prolyl-4-hydraxylases (PHD)1-3. Interestingly, HIF-α proteins show a novel mode of regulation: PHD2, but not PHD3, controls HIF-1α turnover to an extent while HIF-2α resists PHD-mediated degradation. We have also demonstrated that HIF-1 function in disc cells is refractory to regulation by FIH-1, an asparaginyl hydroxylase known to control HIF transcriptional activity. Our works have defined several other regulators that control HIF-1 activity, including HSP70 and matricellular protein CCN2, and demonstrated a unique HIF-1 transcriptional program in this hypoxic tissue. In addition, we have generated NP-specific HIF-1α null mice and demonstrated the vital role HIF-1 plays in cell survival and function. Overall, our work has firmly established that HIF-1 is indispensable in (and a master regulator of) NP cell adaptation to their unique hypoxic niche. The ongoing work is focused on understanding contribution of HIF-1 homologues in metabolic regulation of NP cells.
 
                
                
                
            
        
        
        
    Risbud Research
Contact
- Co-Director Cell Biology and Regenerative Medicine Graduate Program
- James J. Maguire, Jr. Professor in Spine Research
                1025 Walnut Street
                Suite 511
                Philadelphia, PA 19107
            
My lab studies adaptation of nucleus pulposus cells to the unique hypoxic and hyperosmolar microenvironmental niche of the intervertebral disc. Our work is focused on understanding how aberrant changes in the microenvironment compromise cell function and promote development of degenerative disc disease, a leading cause of chronic back/neck pain and disability.
Research Projects
HIF1A Function & Regulation
Inflammation in the Intervertebral Disc
We are exploring the mechanisms by which inflammatory cytokines promote disc degeneration and inflammation. We found an unexpected synergism between two seemingly unrelated protein families: heparan sulfate proteoglycans, syndecan and the key catabolic molecules. We discovered that inflammatory cytokines upregulate syndecan-4 expression and influence the expression and activity of ADAMTS as well as MMP-3, both of which promote the breakdown of proteoglycan and the collagen-rich matrix of the disc. While these events probably represent an initiating factor leading to degeneration, we also noted that the inflammatory cytokines promote chemokine expression by disc cells and are thus instrumental in chemotaxis and macrophage infiltration. This finding led to the generation of a more comprehensive theory encompassing feed-forward events triggering back pain as well as the amplification of inflammatory events that promote disc degeneration. We also discovered novel molecular mechanisms that control the activity of cytokines and of NF-κB signaling pathway, a central mediator of inflammatory signaling. Our work shows the existence of a prominent cross talk between hypoxia and inflammatory pathways in the disc. The members of PHD2 and 3 that control HIF-α degradation promote the transcriptional activity of a prominent NF-κB family member p65/RelA. This finding has both high clinical and translational significance as several lead molecules targeting PHD function are in clinical trials and may represent a novel way of controlling disc inflammation.
Osmoregulation of Nucleus Pulposus Cells
Another major focus of the laboratory is to understand how the hyperosmotic niche of the nucleus pulposus, regulates functions of resident cells. We made a significant advancement with an observation that the osmotic balance in NP cells is regulated by the activities of the transcription-factor tonicity-regulated Enhancer Binding Protein (TonEBP or NFAT5). Our studies showed that this protein is important in regulating survival and apoptosis in NP cells under hypertonic and mechanically stressed conditions. We showed that upstream MAPK signaling (in particular ERK), in an isoform-specific fashion, changes Ca2+ levels and that TGFβ family members control activity of TonEBP in disc cells. Moreover, we have shown that TonEBP controls expression of several critical molecules involved in extracellular matrix homeostasis, including aggrecan and GlcAT-I, an enzyme required for GAG synthesis. We have also shown that TonEBP controls water homeostasis in the disc by controlling AQP2 water channel levels. This work has important clinical implications because disc degeneration is characterized by changes in proteoglycan status and a loss of bound water and tissue-osmotic pressure, which decrease the disc’s ability to absorb biomechanical forces. This research may lead to new restorative therapies targeting TonEBP function through the use of small molecules, a current area of research in my laboratory. More recently, we have started to investigate role of TonEBP in controlling broader transcriptional programs in NP cells, using RNA-Sequencing technology. We have identified many novel pathways, including inflammation related genes, as TonEBP targets in NP. These results suggest that in addition to its canonical osmoadaptive functions, TonEBP may control the impact of inflammatory cytokines on the disc.
Regulation of Metabolic Systems in NP cells
Another major goal in our lab is to understand how the disruption of critical metabolic systems in NP cells can contribute to the pathogenesis of age-related disc degeneration. Given that NP cells reside in a physiologically hypoxic niche and rely primarily on glycolysis for ATP generation, these cells reside in an environment characterized by acidic pH. Pathologically acidic pH in NP cells has been shown to lead to matrix catabolism and decreased glucose uptake; therefore NP cells rely on robust pH-regulating systems to maintain the optimal pH for cell survival. HIF-1α, in particular, regulates the expression of many genes critical to the survival of NP cells. We hypothesize that the HIF-1α-carbonic anhydrase axis is critical for pH regulation in NP cells. In addition, we are interested in determining the function and regulation of autophagy in NP cells in their hypoxic niche, and the implication of this cellular process in the pathogenesis of disc degeneration. We have shown that, unlike many other cell types, NP cells under hypoxia modulate autophagy independently of HIF-1α. Surprisingly, NP cells carry out a highly unique, non-canonical autophagy through MTOR independent pathway, regardless of the oxygen tension. This suggests that autophagy may have a non-metabolic role in NP cells. Current studies are focused on understanding other major regulators of NP cell pH homeostasis and non-canonical functions of autophagy in these cells.
Understanding Mechanisms Underlying Early Onset, Spontaneous Disc Degeneration
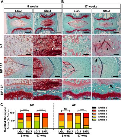
Lack of appropriate small animal models with spontaneous disease onset has impeded our ability to understand the pathogenetic mechanisms that characterize and drive the degenerative process. We have recently reported, for the first time, early onset spontaneous disc degeneration in SM/J mice compared to LG/J mice. In SM/J mice, the degenerative process was marked by decreased NP cellularity and changes in matrix composition. Degenerative changes were accompanied by increased NP cell death with a concomitant decrease in phenotypic marker expression. This degenerative phenotype has a strong genetic basis and is driven by early changes in cell phenotype, metabolism and senescence. We observed an aberrant expression of collagen X and MMP13 in the NP of SM/J mice, along with elevated expression of Col10a1, Ctgf, and Runx2, markers of chondrocyte hypertrophy. Importantly, SM/J discs were stiffer, demonstrated reduced height, and had poor vertebral bone quality, suggesting compromised motion segment mechanical functionality. These results for the first time clearly showed that the SM/J mouse strain recapitulates many salient features of human disc degeneration and serves as a novel small animal model. We are using cutting-edge molecular and genetic tools to understand the mechanistic basis of this degenerative process.
More recently, we have been investigating mechanisms of age-dependent degeneration and contribution of cell senescence to this process. Our lab was the first to show that p16INK4A, a critical marker of senescent cells, was critical in SASP maintenance but was dispensable for onset of senescence in disc. We have recently shown that treatment of mice with a cocktail of Dasatinib and Quercetin, known senolytic molecules, reduce the burden of senescent cells in disc compartments and improve aging-related outcomes, clearly establishing causality between cell senescence and disc degeneration. My lab has in past provided the first evidence of presence of progenitor cells in the disc and showed that their number is affected by the aging process. Current studies are focused on understanding mechanisms the drive cell senescence and how senescence affects NP and progenitor cell function.
